
Conservativa
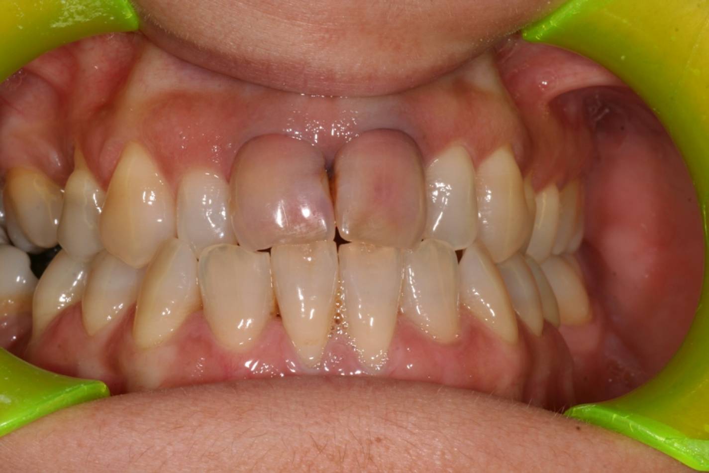
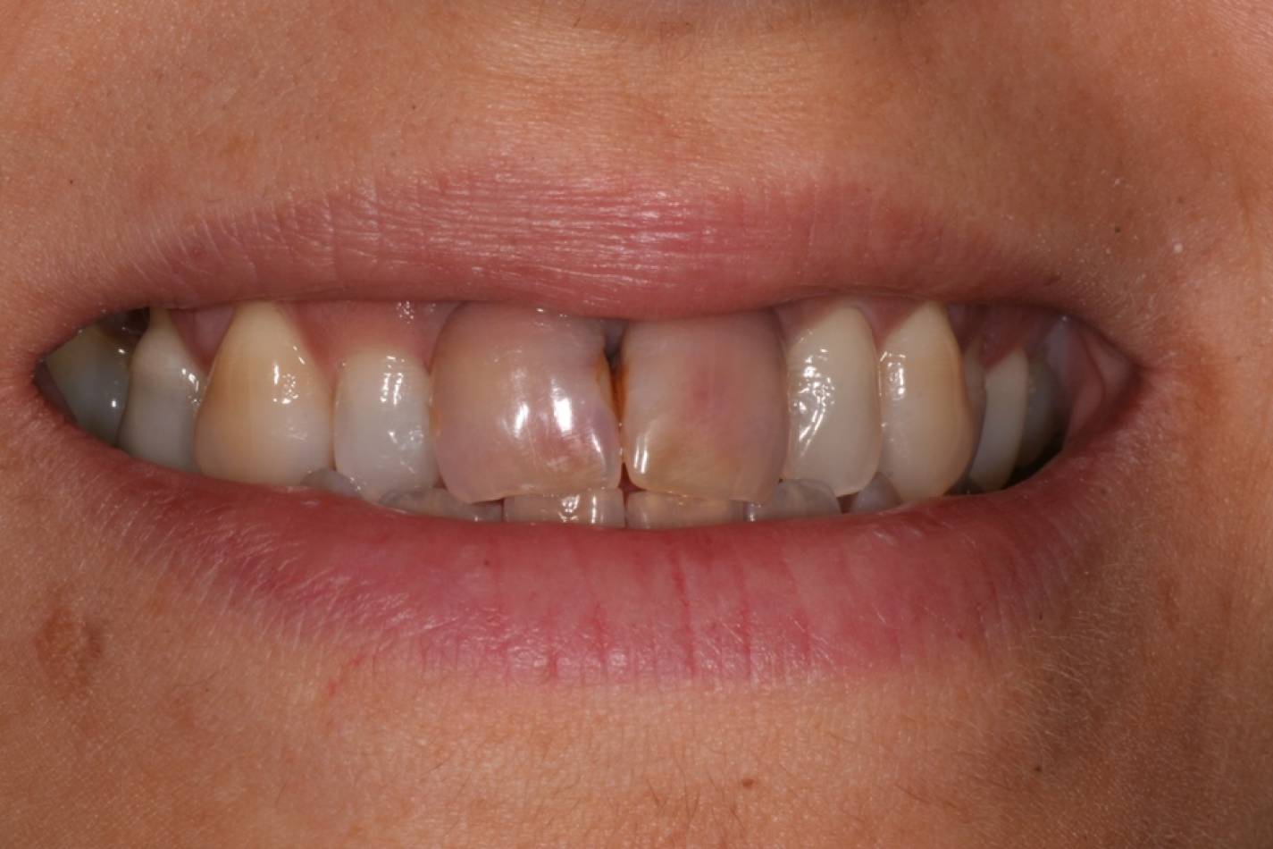
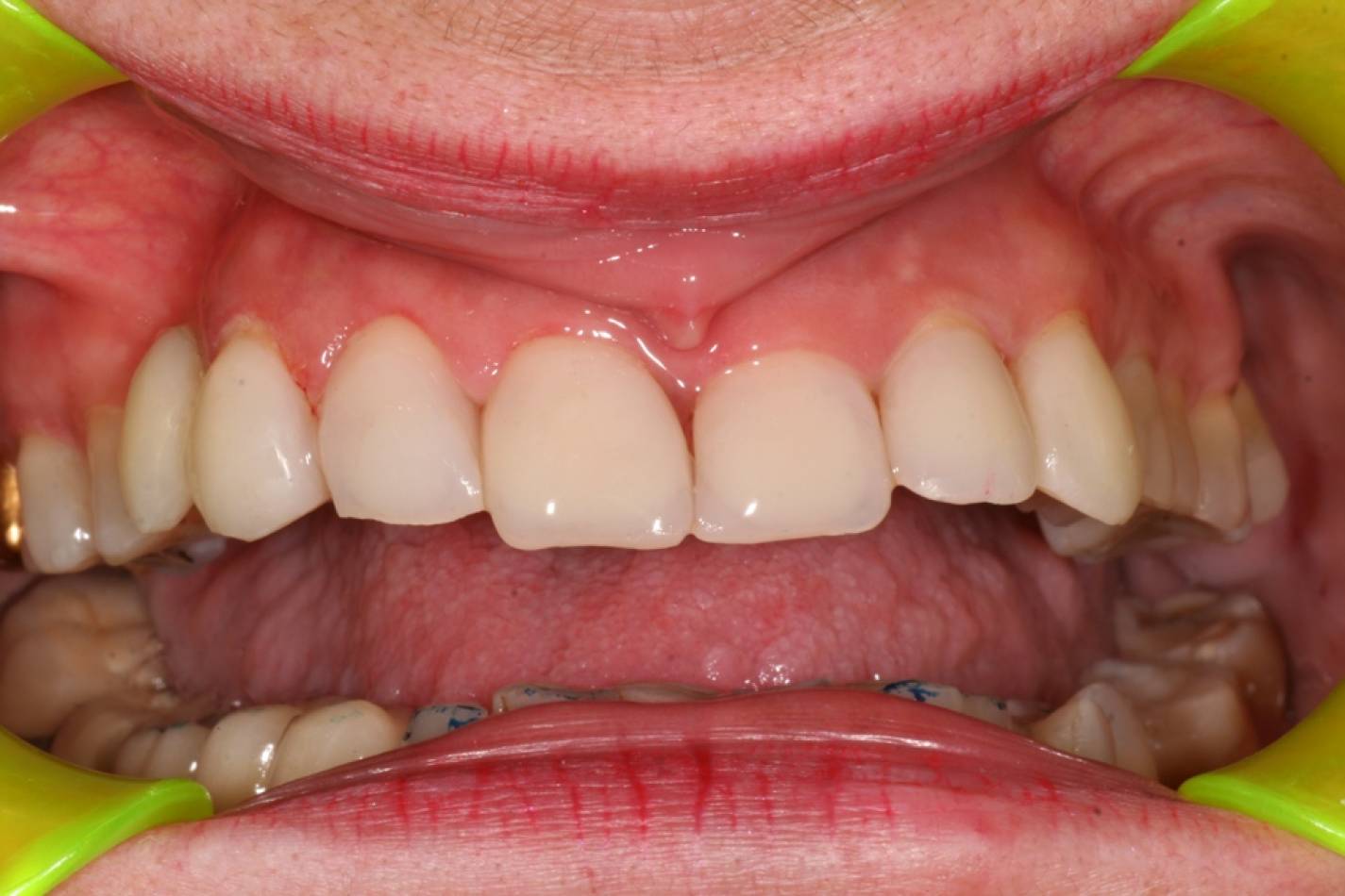
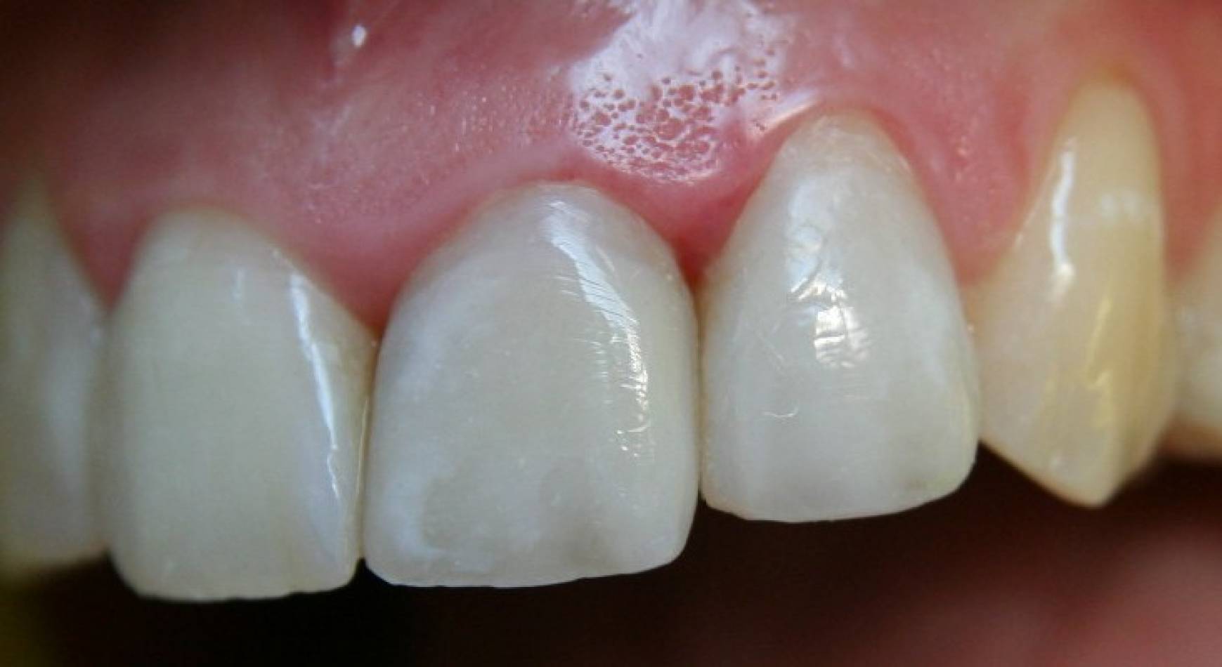
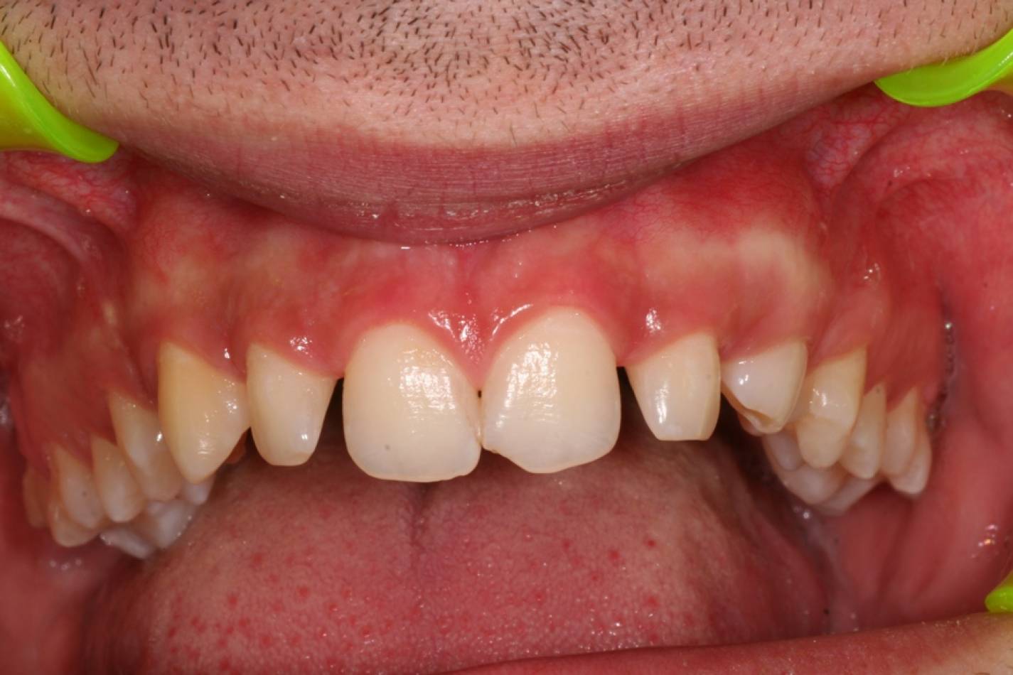
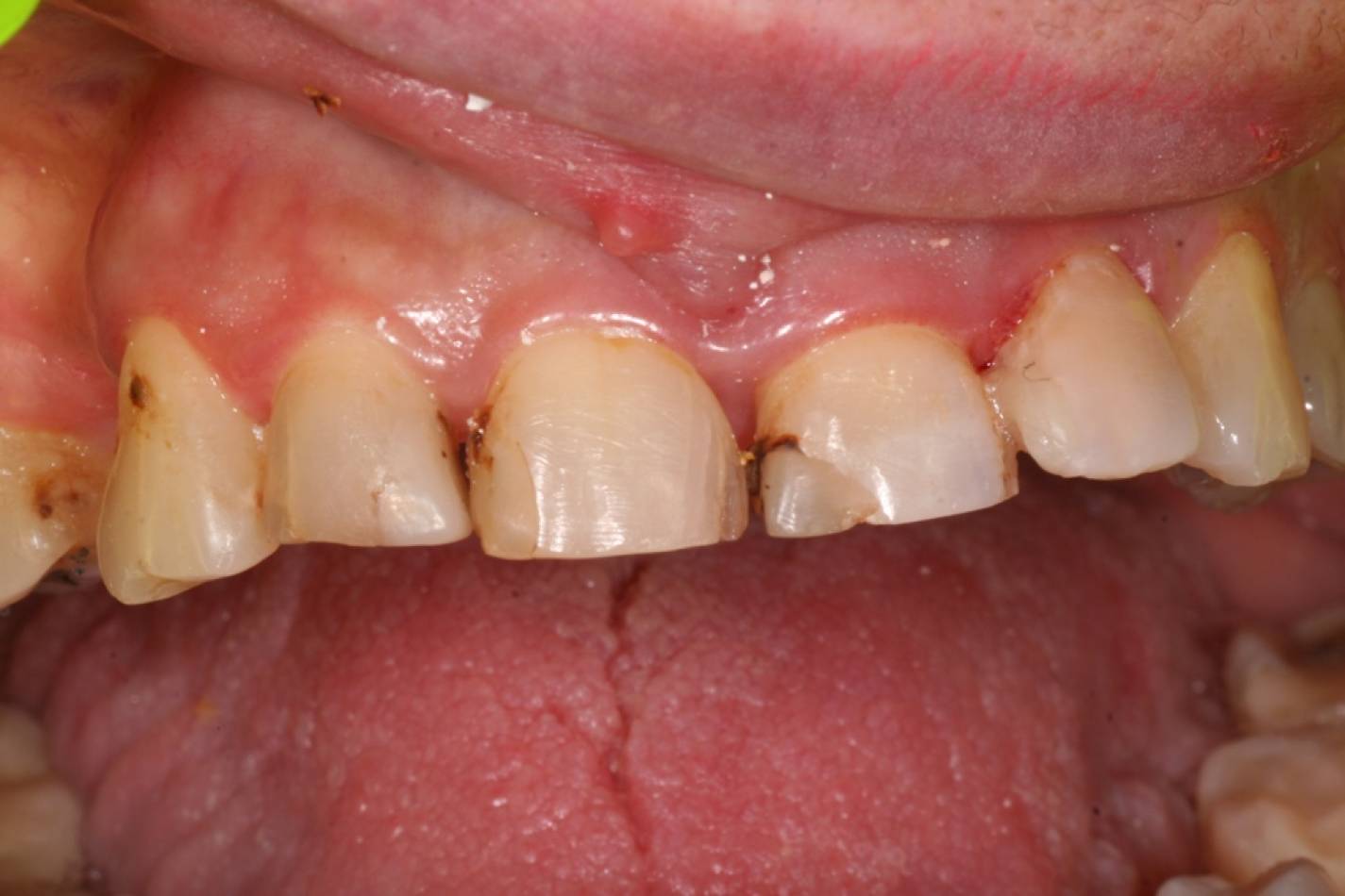
Nel nostro studio si eseguono cure con le quali si tende a ripristinare la naturale funzionalitá e l'estetica degli elementi dentari danneggiati da traumi o carie.

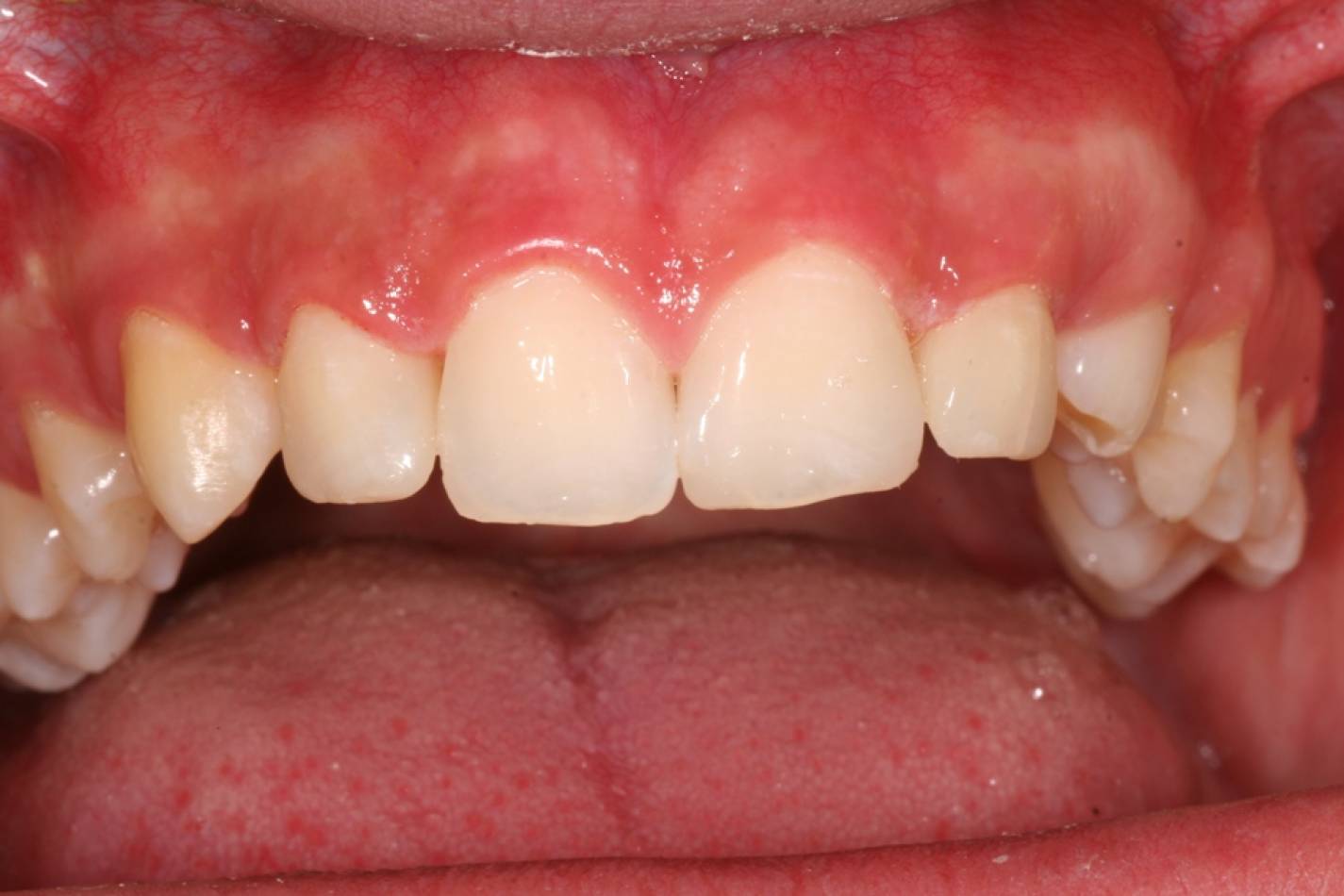
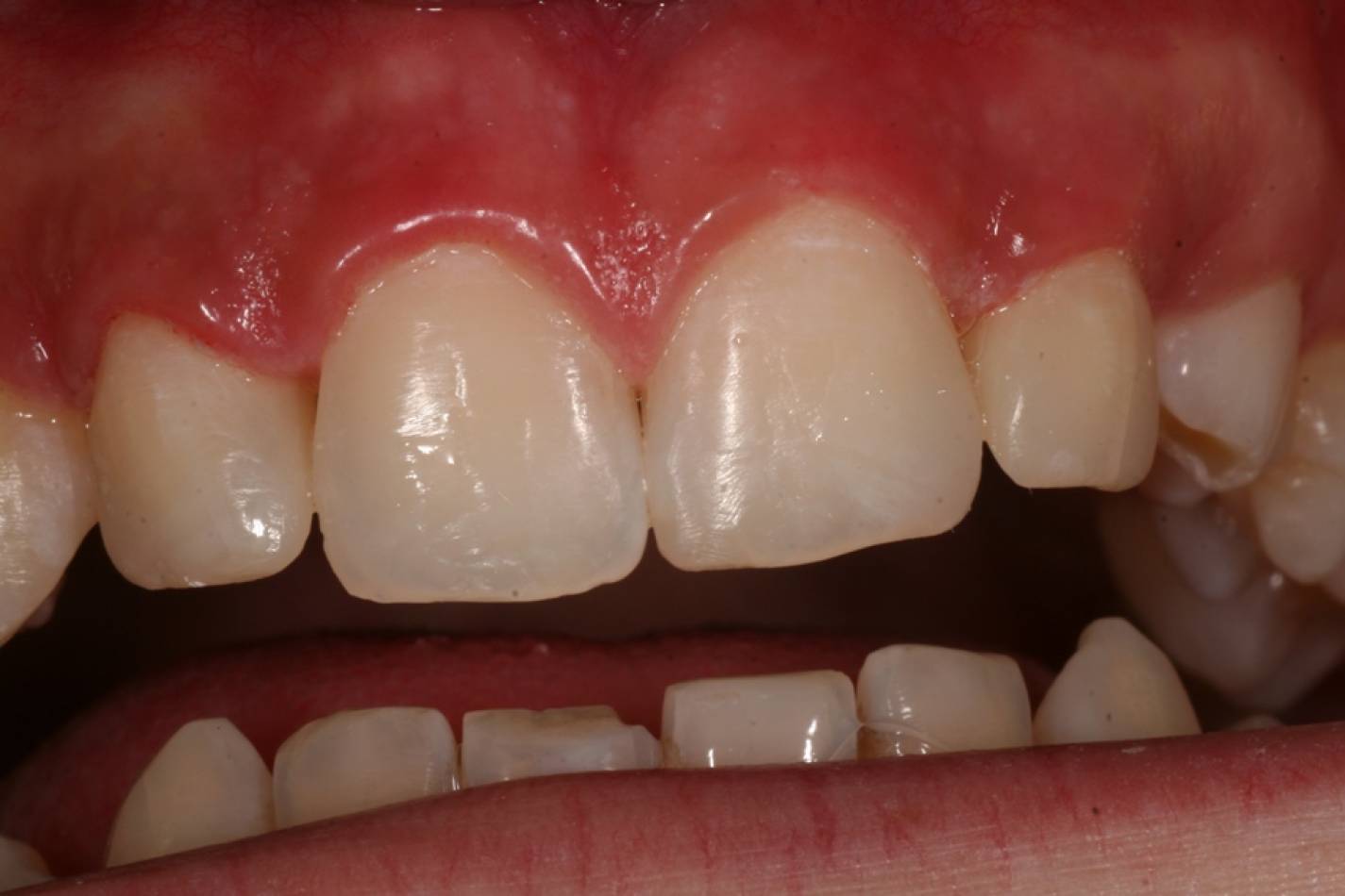
Nel nostro studio si eseguono cure con le quali si tende a ripristinare la naturale funzionalitá e l'estetica degli elementi dentari danneggiati da traumi o carie.